การศึกษาความแปรปรวนของลักษณะทางเศรษฐกิจของสุกรพันธุ์ปากช่อง 2 เจ้าของผลงาน : วโรชา จำปารัตน์ คำสำคัญ : สุกรพันธุ์ปากช่อง 2, ความแปรปรวน, ลักษณะทางเศรษฐกิจ วันที่เผยแพร่ : 11 พฤศจิกายน 2562
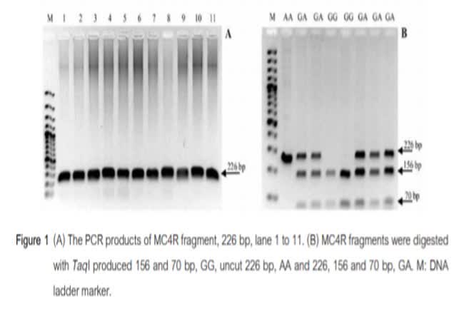
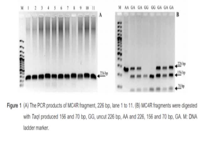
ความสัมพันธ์ของยีน MC4R ต่อลักษณะทางเศรษฐกิจในสุกร เจ้าของผลงาน : กมล ฉวีวรรณ คำสำคัญ : MC4R, ลักษณะทางเศรษฐกิจ, สุกร วันที่เผยแพร่ : 11 พฤศจิกายน 2562
เส้นทางพัฒนาสุกรปากช่อง 5 เจ้าของผลงาน : กมล ฉวีวรรณ คำสำคัญ : สุกรพันธุ์ปากช่อง 5, การพัฒนาพันธุ์สุกร วันที่เผยแพร่ : 16 กรกฎาคม 2561