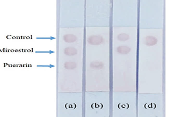
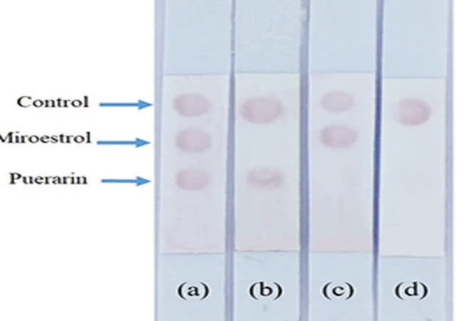
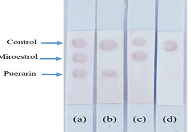
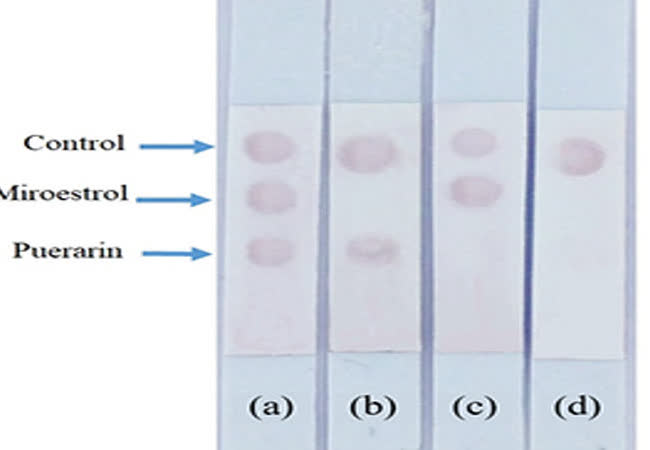
การพัฒนาวิธีวิเคราะห์ทางภูมิคุ้มกันวิทยาเพื่อการตรวจสอบพิวรารินและไมโรเอสทรอล เจ้าของผลงาน : ศุภลักษณ์ กฤตนัย คำสำคัญ : immunochromatographic strip, miroestrol, Pueraria candollei, puerarin วันที่เผยแพร่ : 14 ธันวาคม 2561