ชื่อโครงการวิจัย/ชื่อเรื่อง Enhancement of biohythane production from palm oil mill effluent by Thermoanaerobacterium thermosaccharolyticum PSU-2 and methanogenic mixed cultures using a thermophilic two-ring bioreactor
ชื่อโครงการวิจัย/ชื่อเรื่อง ภาษาอังกฤษ Enhancement of biohythane production from palm oil mill effluent by Thermoanaerobacterium thermosaccharolyticum PSU-2 and methanogenic mixed cultures using a thermophilic two-ring bioreactor
ชื่อนักวิจัย/ชื่อผู้แต่ง สุพัตรา อินทร์จันทร์
ชื่อนักวิจัย/ชื่อผู้แต่ง ภาษาอังกฤษ Supattra In-chan
คำสำคัญ Biohythane;palm oil mill effluent;thermophilic two-ring bioreactor;anaerobic digestion;microbial community analysis
หน่วยงาน มหาวิทยาลัยทักษิณ (วิทยาเขตพัทลุง)
ปีที่เผยแพร่ 2567
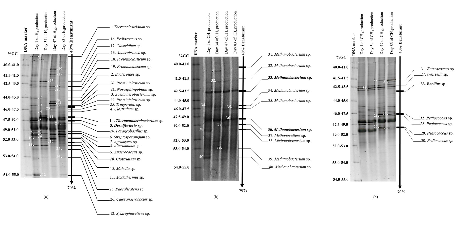
คำอธิบาย A thermophilic two-ring bioreactor using Thermoanaerobacterium thermosaccharolyticum PSU-2 and thermophilic methanogenic cultures produced biohythane from palm oil mill effluent (POME) with high yields: 113.3 mL/g-VS of hydrogen and 473.0 mL/g-VS of methane, resulting in 4.3% H₂, 37.1% CO₂, and 58.6% CH₄. The system achieved 93.7% COD and 84.3% VS removal efficiencies. Key microbes for hydrogen and methane production were Thermoclostridium sp., Thermoanaerobacterium sp., Anaerobranca sp., Bacteroides sp., and Methanobacterium sp. Optimized conditions (pH 5-8, 55 °C, HRT of 2 days for H₂ and 10 days for CH₄) enhanced efficiency. The process proved economically viable with an NPV of 4.19 million USD, an 82% IRR, and a 1.4-year payback, showing promise for sustainable POME treatment and renewable energy generation.
กลุ่มการนำไปใช้ประโยชน์ ด้านวิชาการ
สาขาการวิจัย
  • วิศวกรรมและเทคโนโลยี
  • เทคโนโลยีชีวภาพสิ่งแวดล้อม
Creative Commons License


Enhancement of biohythane production from palm oil mill effluent by Thermoanaerobacterium thermosaccharolyticum PSU-2 and methanogenic mixed cultures using a thermophilic two-ring bioreactor is licensed under a Creative Commons Attribution-NonCommercial-NoDerivatives 3.0 Thailand License.


ภาพที่เกี่ยวข้อง